慢阻肺遇上致命曲霉菌,江山平教授团队首提六型分类,助力早诊早治
慢阻肺合并曲霉菌感染(简称COPD-IPA),临床表现千变万化,极易误诊漏诊,病死率居高不下。如何早诊早治?我院呼吸与危重症医学科江山平教授团队首次在国际上提出六型分类,为破解这一临床难题画出了清晰的“识别图”。
慢阻肺遇上“隐形杀手”,凶多吉少?
慢性阻塞性肺疾病(简称慢阻肺)是我国常见的呼吸系统疾病之一。随着疾病进展,呼吸道上皮屏障被破坏,加之常需使用广谱抗菌药物和糖皮质激素,使得慢阻肺患者成为侵袭性肺真菌病的潜在高危人群。其中,曲霉是最常见的致病真菌。
据广东省的一项研究提示,住院慢阻肺患者中,侵袭性曲霉病的发生率为3.9%。结合慢阻肺流行病学数据估算,我国COPD-IPA的患者总数或超过100万。
更令人警惕的是,这类患者一旦感染,病情进展迅速,病死率高。既往研究显示,即便接受了抗真菌治疗,病死率仍高达43%以上,这与延误诊断和治疗有关。
六型分类,为致命感染“画像”
为破解这一临床难题,江山平教授团队对我院2008年至2024年间收治的63例COPD-IPA的患者资料进行了系统分析,从人口学特征、临床表现、实验室参数、影像学表现、疾病进程、治疗反应等多维度出发,首次在国际上提出COPD-IPA的临床新分型,将其归纳为爆发型、结核型、肺炎型、哮喘型、肿瘤型、心衰型六种类型:
·爆发型:病情急剧恶化,进展迅猛

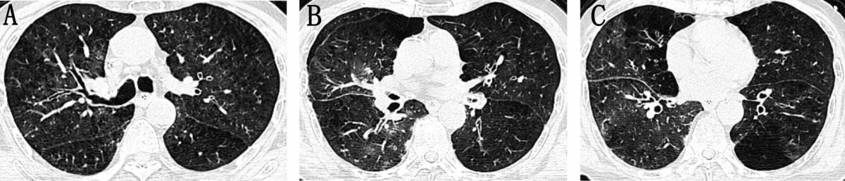
爆发型COPD-IPA早期的胸部CT表现
图像来自一位77岁男性COPD-IPA患者,因“咳嗽、咳痰、呼吸困难加重1天”入院。尽管及时给予抗真菌治疗,患者仍出现严重呼吸及循环衰竭,最终死亡。CT图像仅见双侧支气管壁增厚,伴周围磨玻璃影及树芽征。由于CT表现常缺乏特征性征象,增加了初始诊断的难度。
·结核型:表现类似肺结核,易混淆

结核型COPD-IPA的胸部CT表现
图像来自一位77岁COPD-IPA患者,因“咳嗽、气短1个月”入院,无肺结核病史。CT扫描显示双上肺多发斑片影及结节状高密度影,部分发展为空洞性病变,与继发性肺结核表现类似。
·肺炎型:以肺部感染症状为主

肺炎型COPD-IPA的胸部CT表现
图像来自一位63岁COPD-IPA患者,主要因咳嗽、气短加重伴发热入院,显示右肺上叶肺炎,极易与普通肺炎混淆。
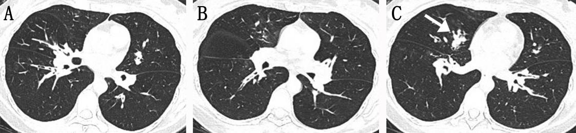
·哮喘型:突出喘息、呼吸困难
哮喘型COPD-IPA的胸部CT表现
图像来自一位45岁女性COPD-IPA患者,因“反复咳嗽、咳痰3月余,呼吸困难1周”入院。肺功能检查提示中重度阻塞性通气功能障碍。胸部CT(A、B、C)显示多发支气管黏液栓导致气道阻塞及中心性支气管扩张。
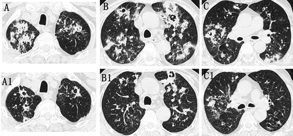
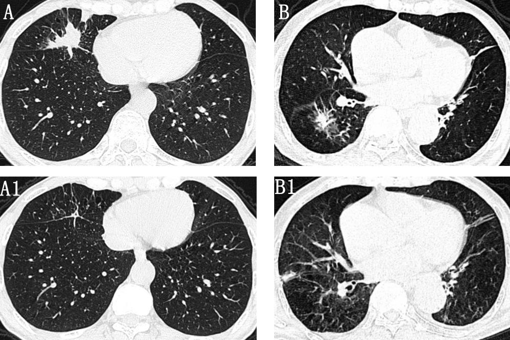
·肿瘤型:影像学类似肺部肿瘤

肿瘤型COPD-IPA的胸部CT表现
图像来自两位男性COPD-IPA患者(年龄分别为57岁和73岁),CT显示孤立性肺结节,边缘带毛刺,密度不均(A、B)。抗真菌治疗后复查CT显示两位患者的肺部病变均明显改善(A1、B1)。
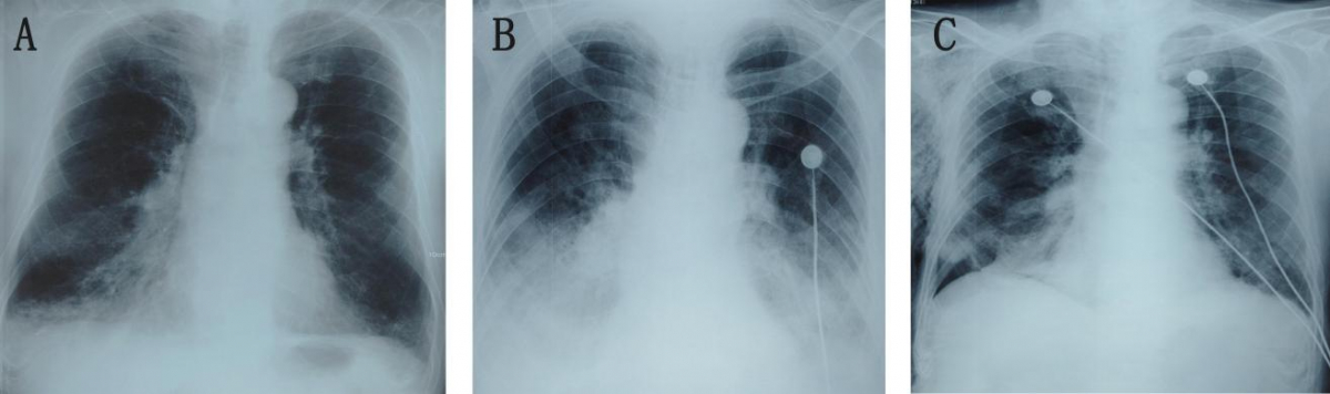
·心衰型:表现为心力衰竭样症状

心衰型COPD-IPA的胸部X线表现
图像来自一位82岁男性COPD患者,因“咳嗽、咳痰、气短加重7天”入院。住院期间患者出现进行性加重的呼吸困难、端坐呼吸及痰中带血。(A)症状出现前的胸部X线显示双下肺野斑片状影,肺门边界清晰。(B)症状出现后的胸部X线显示双下肺阴影范围较前片增大,肺门显示不清,伴双侧新发胸腔积液。(C)抗真菌治疗4周后,肺部病变较前片明显改善。
该成果已在线发表于国际学术期刊Journal of Thoracic Disease。这一新分型体系的建立,有助于临床医生更好地识别COPD-IPA的异质性表现,提升对该病的警惕性与诊断能力,为早诊早治、改善患者预后提供了重要理论依据和实用工具。(文/图 呼吸与危重症医学科 唐恬恬)
粤公网安备 44010402003003号 